Home » Proton Beam Radiation Therapy

 

PROTON BEAM RADIATION


Proton beam radiation is an older technology that has actually been in use since the 1950s. Rather than treating cancer with photons, as occurs with IGRT, men are simply treated with a different type of radioactive particle, called protons. Because it is new to north Florida, some men have been interested in comparing proton beam to newer and more precise forms of treatment, such as prostate Seed Implants and IMRT-IGRT.

In April 2012, one of the largest studies of prostate cancer outcomes in the US was published in the prestigious Journal of the American Medical Association. The researchers looked at 12,000 men treated with radiation for prostate cancer in the US and found that IMRT was associated with the BEST outcomes. Proton therapy had 31% higher gastrointestinal toxicity than IMRT and no discernible benefit when compared to other modalities (JAMA 2012).

The safety and effectiveness of seed implants and IGRT has been thoroughly studied in hundreds of scientific papers, with excellent long-term 15 year outcomes. In contrast, after 50 years of proton use, there is still remarkably very little published data on its cure rates and complications. There are no studies reporting outcomes beyond 5 years after treatment with proton beam. There are no studies showing long-term potency or incontinence rates. This data is critical for men with a long life expectancy. A review of every published study on proton beam radiation shows that patients suffer 20-40% higher cancer recurrence rates, are more likely to develop long term complications, and may be at a greater risk of developing new cancers than those treated with seed implants. In addition, proton beam therapy is time consuming (9 weeks of daily treatment are required), costly (more than $120,000), and not covered by many insurance plans.

One of the oldest and most experienced proton centers in the world is located at Harvard's Massachusetts General Hospital. A recent analysis there showed proton treatment actually delivered higher doses of radiation to the normal tissues around the prostate than treatment with IMRT (Trofimov et al IJROBP 2007). As a result, their institution now favors treating prostate cancer with seed implants or IMRT, instead of protons.

For the above reasons, most major cancer centers throughout the world have decided not to pursue the less effective proton beam technology and instead have focused their attentions on more innovative and successful seed implant and IMRT-IGRT programs for the optimal treatment of prostate cancer.

Divider

 

Back to top

Connect
                                                   with Dr. Cesaretti

Schedule a Consultation
Request a Free Book
PSA Facts

Proton Radiation - Increased Recurrence Rate

Will seed implants improve my likelihood of being cured?

YES! Our cure rates with seed implants are 20 to 40% better than the best results ever published with proton beam therapy. Seed implants have the unique advantage of having the radiation placed directly into the cancer. The radiation is concentrated where it needs to be, without the unnecessary high dose radiation of areas outside the prostate, as occurs with proton therapy. (see chart below)

 

Proton Beam Success Chart

A recent study from the largest proton center in the country at Loma Linda, California reported that for 1,225 men with prostate cancer, the 5-year success rate with proton therapy was only 73%. For those with high risk disease, the success rate was only 43% (Slater, 2004). Unfortunately, there have not been any studies looking at outcomes more than 5 years following proton beam treatment. This is in comparison to our own recently reported long term study showing at 10 years, a 95% success rate with seed implants for intermediate risk disease, and 83% success rate for high risk disease (Terk 2009).

With the seeds being placed directly in the prostate, higher doses of radiation can be given to the cancer, resulting in a much higher BED (biologically effective dose). The 20-50% higher BED seen with seed implants results in much greater cancer killing. Seed implants allow the ultimate concentration of radiation directly in the prostate, while still keeping surrounding areas at the lowest dose possible.

 

Biological Effective Dose Chart

Divider

Back to top

Proton Radiation - Increased Side Effects

Will I have fewer long term side effects with a seed implant?

YES - because high dose proton beam radiation is delivered externally from a machine, the radiation still must enter the body from the outside and pass through organs like the bladder and rectum and hips to reach the prostate, causing much greater side effects than seed implants. A study from a leading proton facility showed that following proton radiation, 41% of men had long-term rectal bleeding and 47% had long-term bleeding with urination (Gardner, 2002). Long-term incontinence rates after proton radiation still remain unknown.

In contrast to proton beam radiation, long term side effects are very rare with seed implants. Using an intra-operative dosimetry technique, the likelihood of the seeds migrating outside the prostate is less than 0.4%. Urinary incontinence occurs in less than 1% of men following a seed implant. Other severe urinary problems are also very rare. (Zelefsky, 2007)

Will seed implants allow for improved preservation of my erectile function?

YES - The best erectile function preservation rates are obtained with seed implants. By pinpointing the seeds directly in the prostate, there is minimal effect on nerves that help control erections. Studies show that up to 90% of men maintain their erectile function after a seed implant (Cesaretti, 2007). Erectile function has never been evaluated after proton beam radiation. Because proton radiation needlessly treats outside the prostate where the nerves reside to a high dose, much greater impotency rates are expected.

 

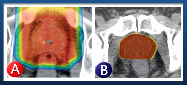
Radiation Effect Chart

A. A dose map of a prostate being treated with protons shows the excess radiation deposited outside the prostate. This is what causes the higher side effects.

B. A similar dose map of a prostate being treated with a seed implant shows no excess radiation outside the prostate, as the seeds radiate the prostate from within.

Divider

Back to top

Proton Radiation - Dangers

Why is there a high risk of proton radiation causing a new cancer to develop?

Of great concern, the renowned radiation biologist Dr. Eric Hall reported that the physics of proton radiation delivery causes excessive neutron contamination in the patient’s body.

Neutrons are dangerous nuclear particles that can damage normal organs. They are known to increase the likelihood of developing potentially life-threatening secondary cancers. (Hall, 2007).

This risk of neutron contamination is much greater with proton radiation than with either IGRT or seed implants.

 

Divider

Back to top

Proton Radiation - Salvage Treatment

What are my treatment options if I have a recurrence of my cancer after proton beam radiation?

The Florida Center for Prostate Care has the largest published experience in the world using seed implants to treat patients with recurrent cancer after prior radiation treatment. Several simple tests and our review of your records help determine if you are a potential candidate for this highly specialized treatment.

 

Divider

Questions to Ask if You are Considering Proton Radiation

Men with prostate cancer deserve answers clearly supported by evidence published in medical journals.
4 questions you MUST ask your proton doctor if you are considering proton beam treatment:

  1. Have you personally published your 10 year proton beam results in a medical journal or presented them at an international conference?

  2. For my stage of prostate cancer, what is the published likelihood that I will be cancer free 10 years after proton beam radiation? (please show me the articles)

  3. Why do experts report my risk for developing a new secondary cancer is greater after proton beam radiation than prostate seed implants?

  4. What is the 10 year published likelihood of maintaining my erectile function and urinary control (continence) after proton beam radiation?

PRINT QUESTIONS

Back to top

1 Bittner - IJROBP, 2008
2 Zelefsky - IJROBP, 2007
3 Slater - IJROBP, 2004
4 Zietman - JAMA, 2005

Divider

PRINT

Print